دندانپزشک بریج دندان در شیراز ⭐️【آپدیت1404】
در این مطلب به معرفی بهترین دندانپزشک بریج دندان در شیراز به همراه آدرس و شماره تماس میپردازیم همچنین اطلاعاتی در مورد هزینه بریج دندان و انواع آن را نیز مورد بررسی قرار میدهیم. بدیهی است که تمامی روش های درمانی دندانپزشکی معایب و مزایایی نیز دارند که در ادامه آن ها را نیز در مورد بریج مورد مطالعه قرار می دهیم.

بهترین دندانپزشک بریج دندان در شیراز
در ادامه به معرفی بهترین دندانپزشک متخصص بریج دندان میپردازیم:
کلینیک دندانپزشکی نگین
آدرس: شیراز، چهارراه زرگری، به سمت بلوار چمران، ساختمان پزشکی ابن سینا، طبقه 4 ، واحد 18
شماره تماس: 07136276287
دکتر محمد شاکر
آدرس: شیراز، خیابان مطهری، کوچه 18، ساختمان مدیکال، طبقه اول
شماره تماس: 07136278431
کتر راضیه قادری
آدرس: شیراز، خیابان ملاصدرا، کوچه 4، ساختمان پارسه، واحد14
شماره تماس: 09170204979
دکتر داریوش رمضان زاده
آدرس: شیراز، زرهی، بعد از درمانگاه محمد رسول الله، مجتمع پزشکان سینا، طبقه سوم
شماره تماس: 07138439580
دکتر مریم ایزدی
آدرس: شیراز ، خیابان قصرالدشت ، کوچه 20 ، روبروی خیابان برق ، جنب مرکز خرید ، طبقه دوم
شماره تماس: 07132330839
دکتر فرزانه مرتضوی فر
آدرس: شیراز، بلوار ارم، نبش خیابان سروناز، مرکز زیبایی و دندانپزشکی آرت
شماره تماس: 07132283326
دکتر فرامرز خوری
آدرس: شیراز، ابتدای خیابان مشکینفام(هتل هما)، جنب دفتر هواپیمایی کیش ایر و سرامیک جعفرنیا، ساختمان کورش، طبقه اول
شماره تماس: 07132291290
هزینه بریج دندان در شیراز
هزینه انواع بریج دندان در شیراز به صورت تقریبی در حدود 3.000.000 تا 13.000.000 تومان میباشد. هزینههای آورده شده در ادامه این مطلب با توجه به تعرفه دندانپزشکی در سال 1404 میپردازیم:
- بریج مریلند (Maryland Bridge): از 3.000.000 تومان به بالا شروع میشود.
- بریج سنتی (Traditional Bridge): بریج فلز-سرامیک یا سرامیک معمولی 4.000.000 تا 10.000.000 تومان هزینه دارد و در برخی موارد تا 15.000.000 تومان هم میتواند برسد.
- بریج بر پایه ایمپلنت (Implant-Supported Bridge): از حدود 13.000.000 تومان به بالا شروع میشود.
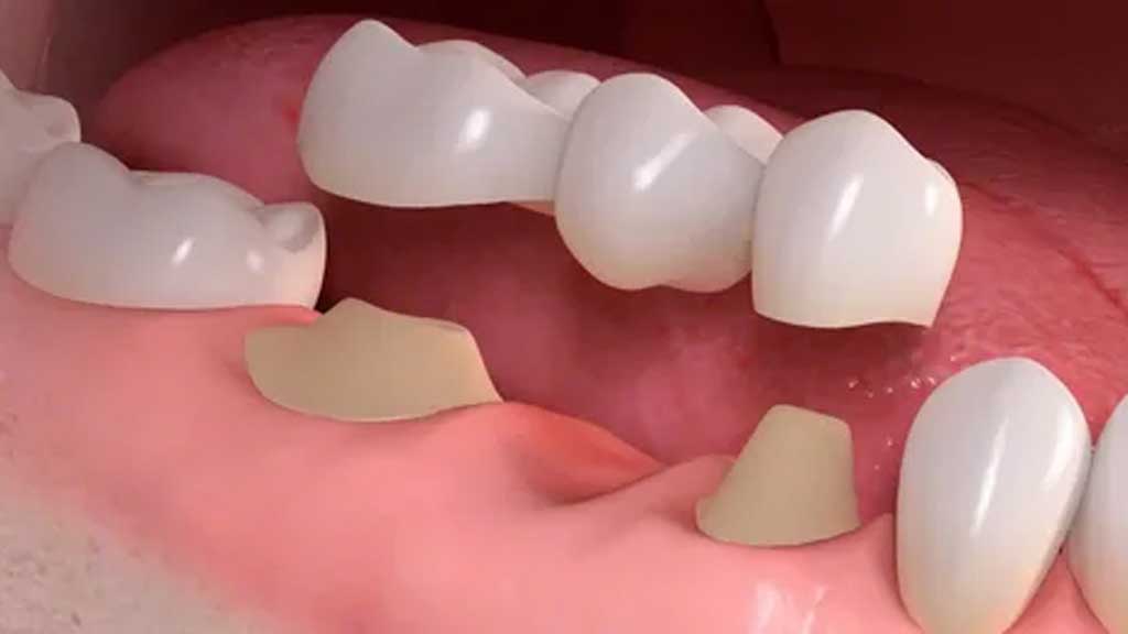
انواع بریج دندان
به طور کلی برج دندان را می توان به 5 دسته تقسیم کرد که عبارتند از:
- بریج دندان ثابت سنتی
- بریج دندان کنسولی
- بریج کامپوزیت مریلند
- بریج دندانی پشتیبانی شده با ایمپلنت

چگونگی دریافت نوبت از متخصص بریج دندان در شیراز
روش های مختلفی برای دریافت نوبت دندانپزشک وجود دارد که سه تا از بهترین های آن را مورد بررسی قرار میدهیم
- دریافت نوبت از طریق وبسایت:
با پیشرفت علم و فناوری این امکان به عموم مردم داده شده است که اکثر کارهای خود را به صورت آنلاین انجام بدهند که یکی از آنها، دریافت نوبت دندانپزشک از طریق سایت های معتبر می باشد.
با مراجعه به سایت های معتبر می توانید پس از انتخاب دندانپزشک مورد نظر خود، وارد صفحه او شوید و با دریافت مشاوره رایگان سوالات خود را برطرف کرده و یا نوبت دریافت کنید.
- دریافت نوبت از طریق تماس تلفنی:
یکی دیگر از روش های دریافت نوبت دندانپزشکی، تماس با دندانپزشک مورد نظر شما است که با انتخاب وی و شماره گیری تلفن همراه و یا تلفن مطب، با ایشان ارتباط برقرار کرده و نوبت دریافت میکنید.
- دریافت نوبت از طریق مراجعه حضوری:
از دیگر روش های دریافت نوبت، مراجعه حضوری به مطب دندانپزشک می باشد که با مراجعه به دندانپزشک در صورتی که دندانپزشک مورد نظر شما وقت آزاد داشت می توانید دندان خود را به ایشان نشان داده و بهترین راه درمانی را با مشورت از پزشک خود انتخاب کنید.
جمعبندی بریج دندان در شیراز
در این مطلب از سایت دکتر ایمپلنت به معرفی بهترین متخصصان بریج دندان در شیراز می پردازیم همچنین اطلاعاتی در مورد هزینه و انواع آن را نیز مورد مطالعه و بررسی قرار میدهیم.

![بهترین دندانپزشکی دیجیتال در شیراز ⭐ [1403]](https://implant-dr.com/wp-content/uploads/2024/07/atc-dpddsh-120403-4-390x220.jpg)

